Suceava, Strada Mihai Eminescu, nr. 10 Suceava, Strada Mihai Eminescu, nr. 10
dental2012concept@gmail.com [email protected]

0740 542 779

  • Acasă
  • Despre noi
  • Servicii
    • Protetică dentară
    • Chirurgie dentară
    • Implantologie dentară
    • Ortodonție
    • Endodonție
    • Estetică dentară
  • Rezultate
  • Galerie
  • Apariții în presă
  • Contact

Rezultate

Acasă
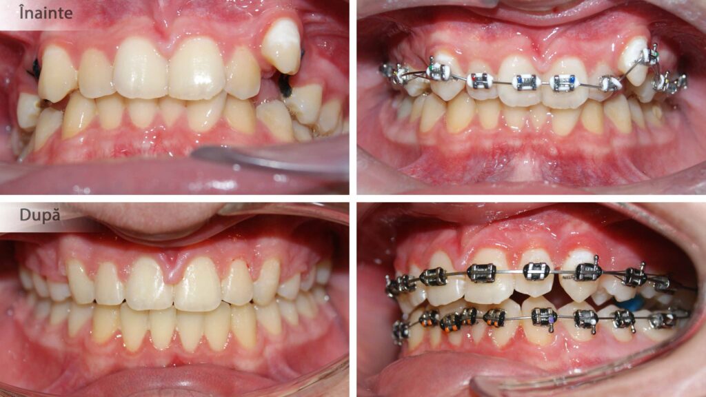
Corectarea ortodontică a angrenajului invers, un zâmbet de mult visat!
Corectarea ortodontică a angrenajului invers, un zâmbet de mult visat!
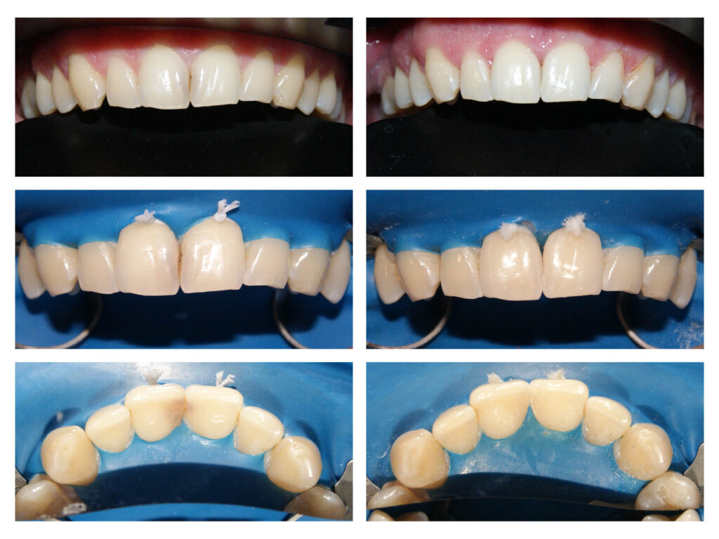
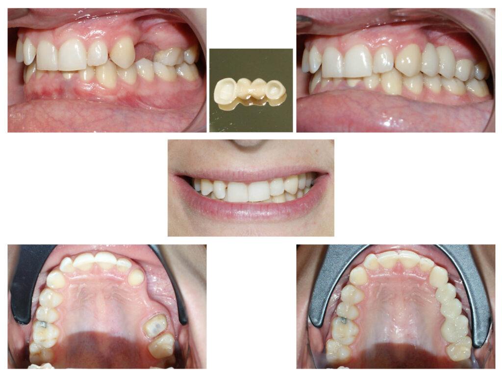
Protezarea fixă a incisivului central superior cu lucrarea din zirconiu stratificat
Protezarea fixă a incisivului central superior cu lucrarea din zirconiu stratificat
De 3 ori BLINK Swarowski
De 3 ori BLINK Swarowski
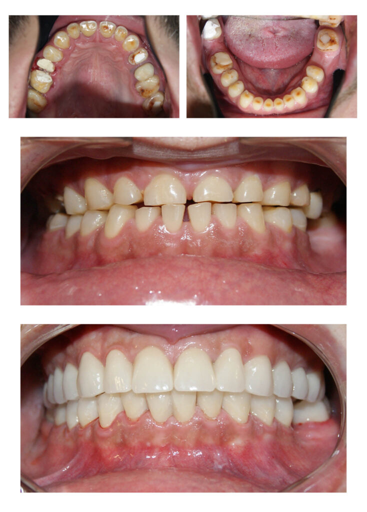
Reabilitare orală complexă cu redimensionarea dinților cu grad accentuat de uzură. A fost necesară o soluție de provizorat de 6 luni de zile în care am verificat dacă pacientul se poate adapta cu înălțarea ocluzală propusă de noi. Am realizat tratamente de canal și reconstituiri atât pentru înălțarea dinților, cât și pentru tratarea proceselor infecțioase active. Rezultatele sunt remarcabile atât din punct de vedere funcțional cât și estetic
Reabilitare orală complexă cu redimensionarea dinților cu grad accentuat de uzură. A fost necesară o soluție de provizorat de 6 luni de zile în care am verificat dacă pacientul se poate adapta cu înălțarea ocluzală propusă de noi. Am realizat tratamente de canal și reconstituiri atât pentru înălțarea dinților, cât și pentru tratarea proceselor infecțioase active. Rezultatele sunt remarcabile atât din punct de vedere funcțional cât și estetic
Coroniță zirconiu pe incisivul central cu integrarea estetică
Coroniță zirconiu pe incisivul central cu integrarea estetică
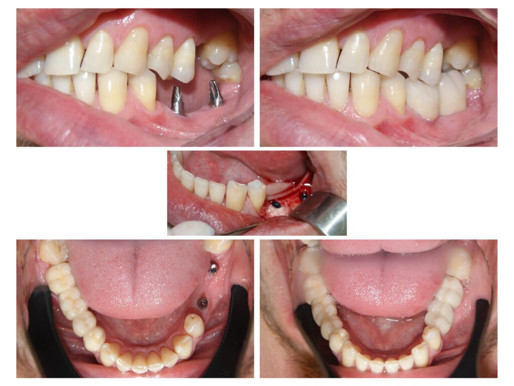
Aplicare implante dentare cu usoara adiție de os artificial si protezarea lor
Aplicare implante dentare cu usoara adiție de os artificial si protezarea lor
Recâștigarea spațiilor pierdute pentru dinții numerotați cu 2 si 11. Dacă nu am fi pus aparatul ortodontic fix dinții ar fi rămas blocați în intriorul osului, cu consecințe dramatice
Recâștigarea spațiilor pierdute pentru dinții numerotați cu 2 si 11. Dacă nu am fi pus aparatul ortodontic fix dinții ar fi rămas blocați în intriorul osului, cu consecințe dramatice
Redeschiderea spațiilor pentru caninii definitivi (a se observa că pe o parte spațiul era închis complet)
Redeschiderea spațiilor pentru caninii definitivi (a se observa că pe o parte spațiul era închis complet)
În cazul de față ortodonția ne-a ajutat să oferim lărgime semnificativă zâmbetului și să prevenim retracțiile gingivale de pe caninii inferiori prin distalizare.
În cazul de față ortodonția ne-a ajutat să oferim lărgime semnificativă zâmbetului și să prevenim retracțiile gingivale de pe caninii inferiori prin distalizare.
Pozițiile copiilor în somn (cu pumnul sub obraz) timp îndelungat poate determina dezvoltarea asimetrică a oaselor maxilare. Așa cum se vede în poze, cu ajutorul aparatelor ortodontice fixe am îndreptat axele dentare
Pozițiile copiilor în somn (cu pumnul sub obraz) timp îndelungat poate determina dezvoltarea asimetrică a oaselor maxilare. Așa cum se vede în poze, cu ajutorul aparatelor ortodontice fixe am îndreptat axele dentare
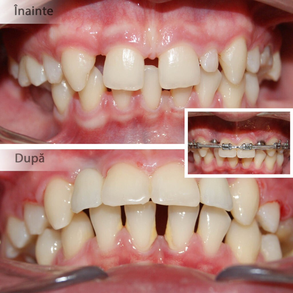
Persistența dinților de lapte peste timpul lor normal de exfoliere determină înghesuirea dinților definitivi. Aparatele dentare fixe sunt instrumentele perfecte pentru alinierea armonioasă a dinților
Persistența dinților de lapte peste timpul lor normal de exfoliere determină înghesuirea dinților definitivi. Aparatele dentare fixe sunt instrumentele perfecte pentru alinierea armonioasă a dinților
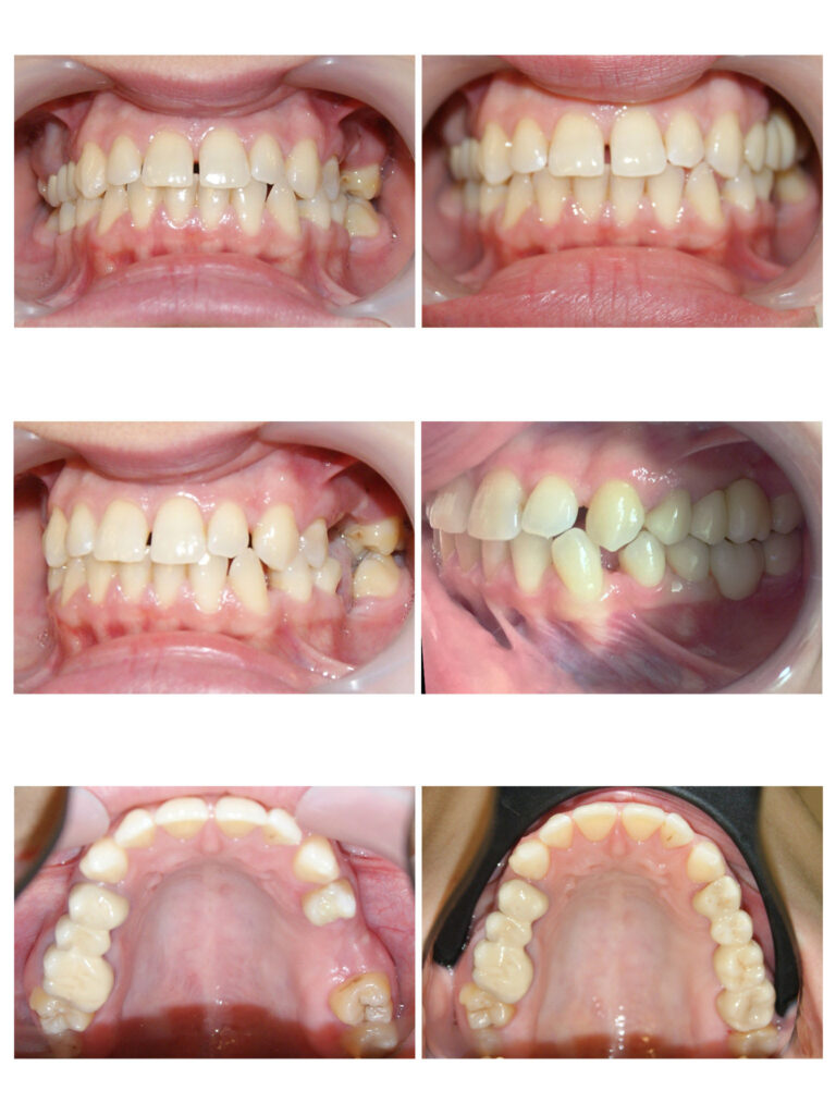
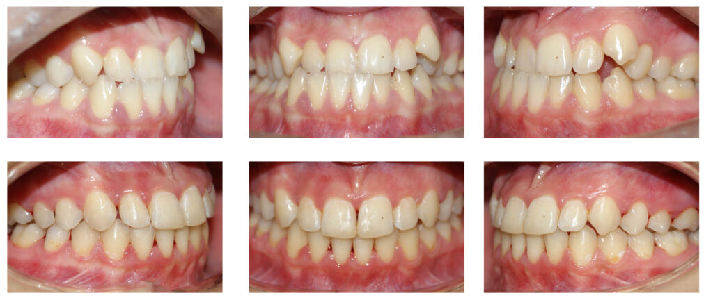
Corectare angrenaj invers
Corectare angrenaj invers
Proteza telescopată – stabilitate perfectă
Proteza telescopată – stabilitate perfectă
#anodonție #dinte nanic #aparat ortodontic #implante dentare
#anodonție #dinte nanic #aparat ortodontic #implante dentare
Adesea boala parodontală determină migrarea neplăcută a dinților. După încetinirea activității bacteriene dinții migrați pot fi readuși în poziție corectă
Adesea boala parodontală determină migrarea neplăcută a dinților. După încetinirea activității bacteriene dinții migrați pot fi readuși în poziție corectă
Întrebare “Ce se întâmplă dacă îmi vor fi extrași dinți buni? “Răspuns “Spațiile vor fi închise complet! “ DA, DA, DA! Adesea trebuie să facem extracții în scop ortodontic pentru a crea spațiul necesar alinierii dinților care rămân pe arcadă. În aproximativ 2 ani de tratament ortodontic dinții migrează și închid spațiile astfel încât vei uita că acolo au mai fost vreodată alți dinți
Întrebare “Ce se întâmplă dacă îmi vor fi extrași dinți buni? “Răspuns “Spațiile vor fi închise complet! “ DA, DA, DA! Adesea trebuie să facem extracții în scop ortodontic pentru a crea spațiul necesar alinierii dinților care rămân pe arcadă. În aproximativ 2 ani de tratament ortodontic dinții migrează și închid spațiile astfel încât vei uita că acolo au mai fost vreodată alți dinți
Vechile obturații de amalgam pot fi înlocuite cu succes
Vechile obturații de amalgam pot fi înlocuite cu succes
Proteza telescopată  și proteză scheletată aplicate pe dinții tratați corect! Execuția riguroasă oferă stabilitate excelentă.
Proteza telescopată și proteză scheletată aplicate pe dinții tratați corect! Execuția riguroasă oferă stabilitate excelentă.
Aparatele ortodontice se aplică doar pe dinții curățați în prealabil. Cariile și resturile radiculare irecuperabile trebuie asanate după cum se vede aici
Aparatele ortodontice se aplică doar pe dinții curățați în prealabil. Cariile și resturile radiculare irecuperabile trebuie asanate după cum se vede aici
Lucrări protetice din zirconiu cu adaptare perfectă
Lucrări protetice din zirconiu cu adaptare perfectă
Înlocuirea plombițelor modificate de culoare devine un succes în mâinile noastre
Înlocuirea plombițelor modificate de culoare devine un succes în mâinile noastre
Caz cu extracție de 2 premolari pentru alinierea caninilor
Caz cu extracție de 2 premolari pentru alinierea caninilor
Dinții nanici își găsesc la noi rezolvare estetică și minim invazivă – coroniță cu preparare minimă ghidată
Dinții nanici își găsesc la noi rezolvare estetică și minim invazivă – coroniță cu preparare minimă ghidată
Găsim cea mai potrivită culoare pentru plombițele de pe dinții frontali
Găsim cea mai potrivită culoare pentru plombițele de pe dinții frontali
Am folosit într-un mod eficient și elegant spațiul postextracțional pentru a alinia dinții înghesuiți
Am folosit într-un mod eficient și elegant spațiul postextracțional pentru a alinia dinții înghesuiți
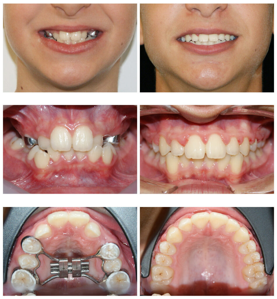
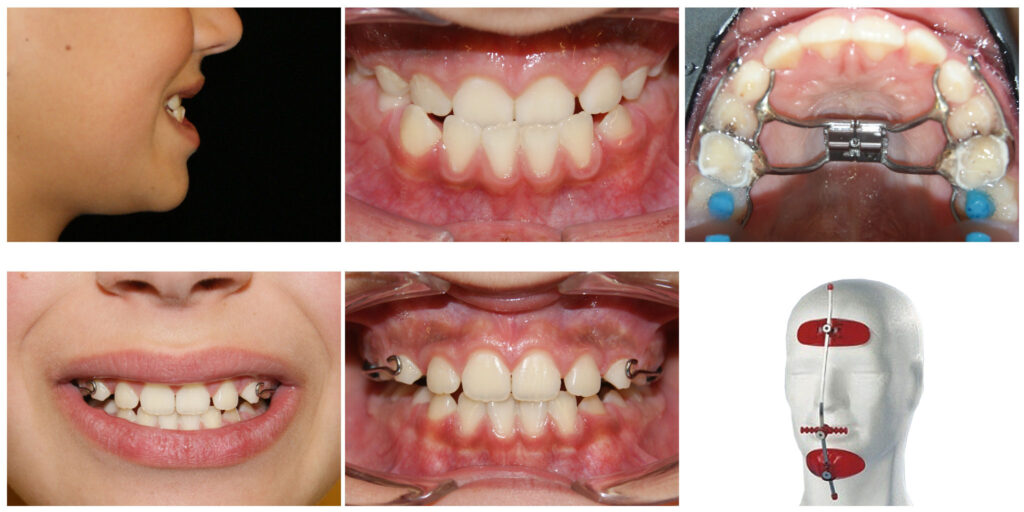
Corectarea muscaturii inverse cu forte extraorale – masca Delaire și disjunctor maxilar Alegem aparatul potrivit la vârsta potrivită
Corectarea muscaturii inverse cu forte extraorale – masca Delaire și disjunctor maxilar Alegem aparatul potrivit la vârsta potrivită
Corectarea muscaturii inverse cu forte extraorale – masca Delaire și disjunctor maxilar. Câteva luni pentru rezultate de care copilul se bucură întreaga viată
Corectarea muscaturii inverse cu forte extraorale – masca Delaire și disjunctor maxilar. Câteva luni pentru rezultate de care copilul se bucură întreaga viată
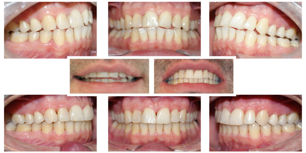
Tratamentele dentare corecte oferă durabilitate lucrărilor dentare perfecte Integrare estetică remarcabilă!
Tratamentele dentare corecte oferă durabilitate lucrărilor dentare perfecte Integrare estetică remarcabilă!
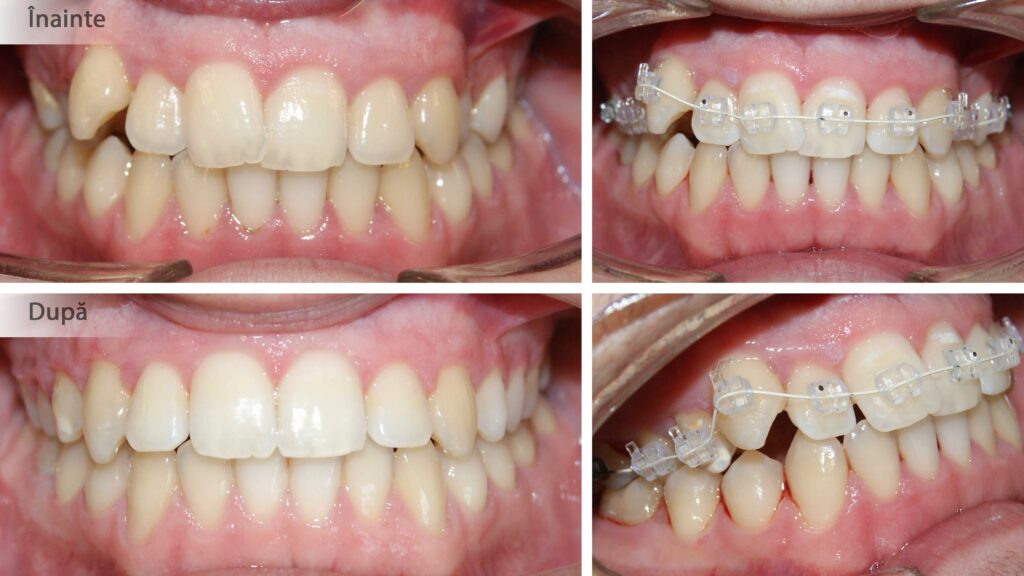
Pentru că detaliile fac diferența  – a se remarca înălțarea și lărgirea zâmbetului #contenție fixă
Pentru că detaliile fac diferența – a se remarca înălțarea și lărgirea zâmbetului #contenție fixă
#brackets
#brackets
Tehnician – Happy 3Dent
Tehnician – Happy 3Dent
Îndreptarea axelor dentare are un efect semnificativ atât asupra dinților cât și asupra țesuturilor de susținere
Îndreptarea axelor dentare are un efect semnificativ atât asupra dinților cât și asupra țesuturilor de susținere
Câtă încredere poate radia un zâmbet corect
Câtă încredere poate radia un zâmbet corect
Un vis devenit realitate
Un vis devenit realitate
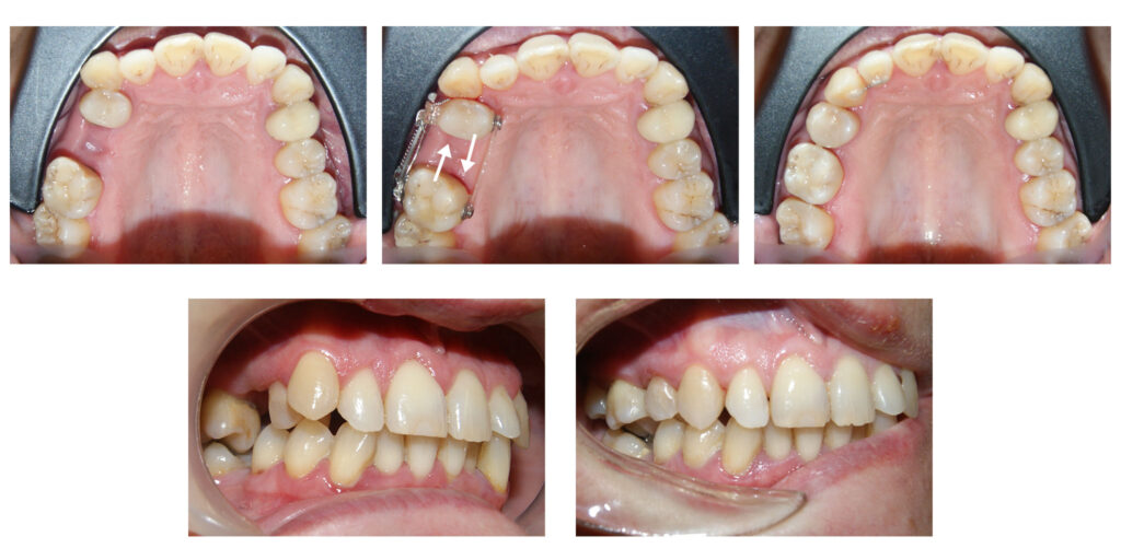
Extruzia ortodontică a dinților cu distrucție subgingivală accentuată salvează unii dinți de la extracție…pentru că dintele natural este cel mai bun implant. Săgețile evidențiază cât de multă extruzie am reușit să obținem în câteva luni.
Extruzia ortodontică a dinților cu distrucție subgingivală accentuată salvează unii dinți de la extracție…pentru că dintele natural este cel mai bun implant. Săgețile evidențiază cât de multă extruzie am reușit să obținem în câteva luni.
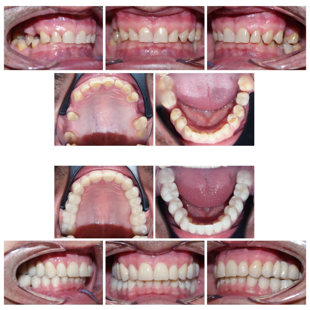
Reabilitare complexă și completă a dinților cu un accent grav de uzură, a dimensiunii verticale de ocluzie și a zâmbetului = restabilirea tuturor funcțiilor naturale
Reabilitare complexă și completă a dinților cu un accent grav de uzură, a dimensiunii verticale de ocluzie și a zâmbetului = restabilirea tuturor funcțiilor naturale
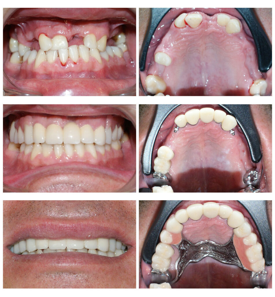
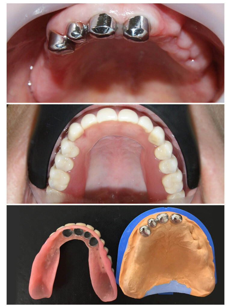
Lucrare fixată pe dinți împreună cu proteză scheletată mobilizabilă = soluția de lux pentru dinți puțini
Lucrare fixată pe dinți împreună cu proteză scheletată mobilizabilă = soluția de lux pentru dinți puțini
Lucrare protetică din Zirconiu stratificat- integrare estetică- praguri minim invazive pe dinți tineri, vitali – gingii sănătoase
Lucrare protetică din Zirconiu stratificat- integrare estetică- praguri minim invazive pe dinți tineri, vitali – gingii sănătoase
Înlocuire coroană metalo-ceramică cu o coroană de Zirconiu stratificat
Înlocuire coroană metalo-ceramică cu o coroană de Zirconiu stratificat
Brackets – Teeth Detailing
Brackets – Teeth Detailing
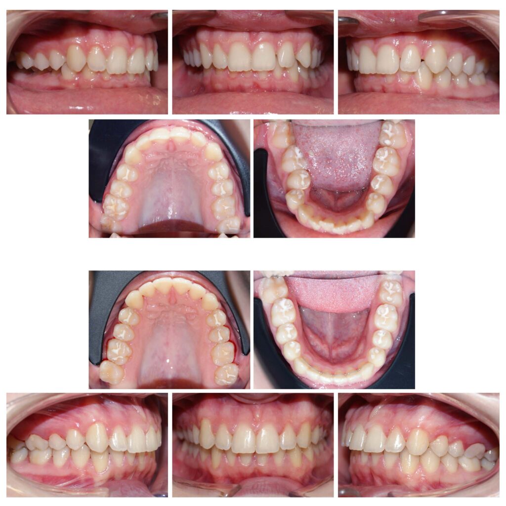
Ocluzie încrucișată | Ancoraj pe mini implante | Brackets | Simetrizarea conturului zâmbetului
Ocluzie încrucișată | Ancoraj pe mini implante | Brackets | Simetrizarea conturului zâmbetului
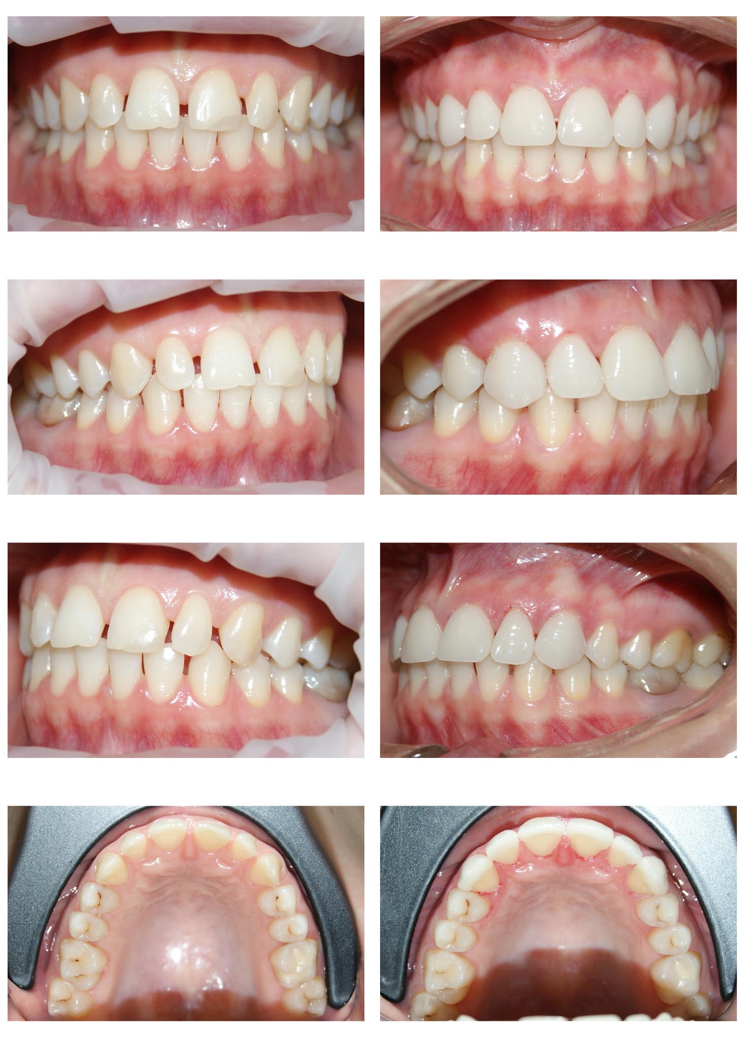
Un caz de o dificultate estestică majoră pe care l-am rezolvat cu succes împreună cu tehnicienii noștri. Am reușit să salvăm toți dinții deși erau destul de mult afectați și ulterior să îi îmbracăm cu coroane solo. Cromatica coronițelor este atât de potrivită încât în final nu se diferențiază de dinții naturali printre care sunt intercalate
Un caz de o dificultate estestică majoră pe care l-am rezolvat cu succes împreună cu tehnicienii noștri. Am reușit să salvăm toți dinții deși erau destul de mult afectați și ulterior să îi îmbracăm cu coroane solo. Cromatica coronițelor este atât de potrivită încât în final nu se diferențiază de dinții naturali printre care sunt intercalate
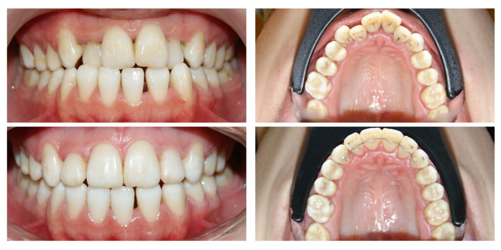
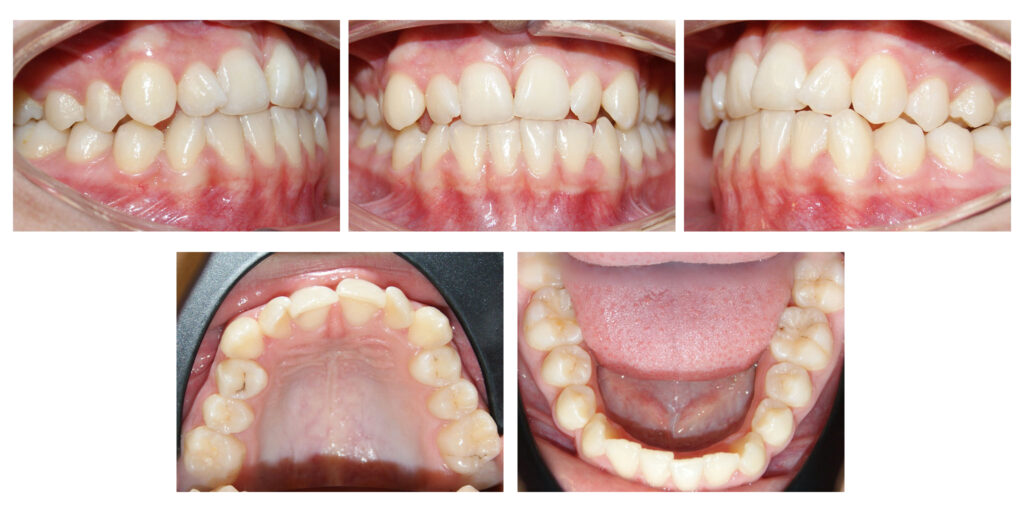
Corectarea angulațiilor dentare și a mușcăturii
Corectarea angulațiilor dentare și a mușcăturii
Bijuterie Dentară | Blink – Swarowski
Bijuterie Dentară | Blink – Swarowski
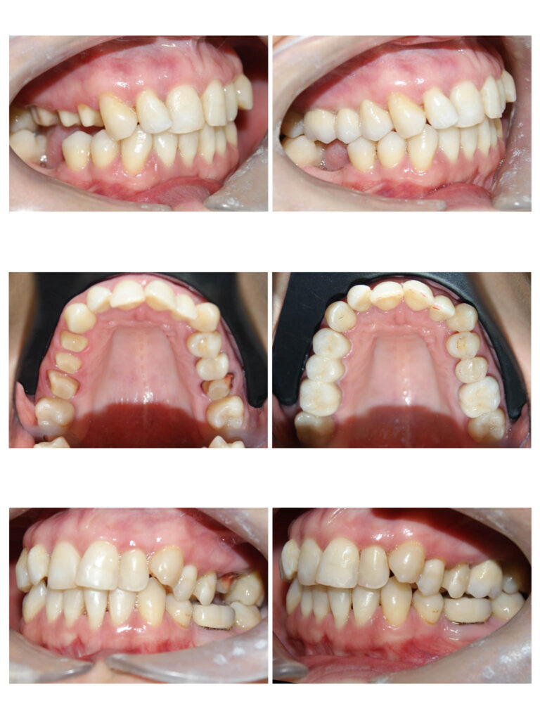
Crearea spațiului pentru alinierea dinților și pentru corectarea mușcăturii încrucișate.
Crearea spațiului pentru alinierea dinților și pentru corectarea mușcăturii încrucișate.
Caz de fațetare a dinților – o modalitate elegantă, estetică și mai ales minim invazivă de schimbare a formei și a dimensiunii dinților.
Caz de fațetare a dinților – o modalitate elegantă, estetică și mai ales minim invazivă de schimbare a formei și a dimensiunii dinților.
Pentru că încrederea se câștigă în timp și se cântărește în rezultate!
Pentru că încrederea se câștigă în timp și se cântărește în rezultate!

Tehnician – Happy 3Dent

Reabilitare complexă și completă a dinților
Reabilitare complexă și completă a dinților

Restabilire a tuturor funcțiilor naturale

Zirconiu Stratificat
Zirconiu Stratificat

Tehnician – Happy 3Dent

Corectarea angulațiilor dentare și a mușcăturii
Corectarea angulațiilor dentare și a mușcăturii
× Popup
Sună acum

Sună acum

WhatsApp

WhatsApp

  • Doctorii Noștri
    • Dr. Teona Niga
    • Dr. Delia Stoinescu
    • Dr. Ana-Maria Constantinescu
    • Dr. Diana Flutur
    • Dr. Sorin Serediuc
    • Dr. Eliza Manghiuc
  • Despre Noi
    • Servicii
    • Vezi echipa
    • Rezultate
    • Galerie
    • Apariții în presă
  • Social Media
    • Facebook
  • Contact
    • Str. Mihai Eminescu, nr 10, sc. A, et. 2, Suceava 0740 542 779 [email protected]
© 2026 ● DENTAL CONCEPT Juniors & Family SRL
Website creat de Ecom Digital